¿Qué es el tratamiento periodontal? Fases del tratamiento periodontal
- Publicado el 10 de Febrero de 2026
- |
- PERIODONTITIS
- 161
Inicialmente, debido al acúmulo de placa entre la encía y el diente, todos los pacientes desarrollan gingivitis (inflamación de la encía sin destrucción de los tejidos de soporte). Sin embargo, la mera presencia de bacterias no implica que pueda existir una progresión a periodontitis (destrucción del periodonto), puesto que se requieren otra serie de factores.
La periodontitis se trata de una enfermedad multifactorial o probabilística, en la que existe una interacción entre genes y medio ambiente. Para que exista periodontitis, deben existir unas bacterias específicas que, sumadas a una serie de factores de riesgo biológicos (enfermedades sistémicas, genética, respuesta inmune) y ambientales (higiene oral, tabaco, estrés), desencadenan una serie de cambios metabólicos que provocan la destrucción del periodonto (encía, cemento radicular, hueso alveolar y ligamento periodontal.
Cuando un paciente acude a nuestra consulta, entre los primeros factores que evaluamos está su nivel de higiene, ya que eso afecta al estado de su encía, y en consecuencia al resto de su boca y la viabilidad de sus tratamientos.
Ayudamos al paciente a que tome conciencia de la importancia de su higiene y le educamos enseñándole las técnicas de cepillado de su rutina diaria, uso de hilo dental o irrigador, cepillos interproximales...
También explicamos los factores de riesgo que existen que pueden agravar el estado de su encía (como el tabaco o la diabetes).
Realizamos un estudio radiológico en el que observamos el nivel de hueso, y podemos llevar a cabo registros de índice de placa, de sondaje periodontal (periodontograma)… todo esto nos lleva al diagnóstico de una posible enfermedad periodontal.
Una vez detectada la presencia de enfermedad periodontal, explicamos al paciente cuál va a ser su tratamiento.
El tratamiento periodontal
El tratamiento periodontal es el procedimiento técnico que empleamos para resolver la enfermedad periodontal, el cual consta de varias fases.
Fases del tratamiento periodontal
Fase activa
El propósito de esta etapa es eliminar la placa y el sarro acumulado bajo la encía (causantes de la inflamación).
Se realiza el procedimiento de raspado y alisado radicular, generalmente dividiendo la boca en cuatro cuadrantes (superior derecho, superior izquierdo, inferior derecho e inferior izquierdo), por lo que esta fase se lleva a cabo en dos citas.
Un día citamos al paciente para realizar el raspado y alisado (también llamado curetaje) de un lado de su boca (o dos cuadrantes), y a la semana siguiente, se realiza en el otro lado. Este procedimiento permite limpiar de manera más profunda las raíces dentales y dejar superficies lisas donde las bacterias no puedan adherirse fácilmente.
El día de la primera cita de raspado y alisado, tomamos al paciente una muestra (PCR) para averiguar las bacterias que presenta.
En la segunda cita dedicada al raspado del otro lado, se le entrega al paciente el informe bacteriológico y recetamos al paciente un antibiótico acorde a esas bacterias presentes para erradicarlas.
Tras esta intervención, el tejido gingival comienza a desinflamarse, se reduce el sangrado y las bolsas periodontales disminuyen de profundidad.
Fase de Reevaluación
Esta fase se lleva a cabo a los dos meses de la fase activa del tratamiento, dando lugar a que la encía se desinflame y se adhiera de nuevo al diente.
En esta cita, se vuelve a realizar el periodontograma, siendo comparado con el inicial. La profundidad de las bolsas y el sangrado de la encía debe haber disminuido si el paciente ha tomado el antibiótico adecuadamente y ha seguido las técnicas de cepillado que se le indicaron.
Además, ese mismo día realizamos un mantenimiento periodontal (no con la profundidad de los días del tratamiento de la fase activa).
Fase de Mantenimiento (conservación)
La fase de mantenimiento consiste en revisiones periódicas, normalmente cada seis meses, donde el profesional mide la profundidad de sondaje y realiza un mantenimiento periodontal, evaluando así la estabilidad del tratamiento.
Durante estas visitas, se refuerzan también las técnicas de higiene y se motiva al paciente a mantener sus hábitos saludables.
Si se detecta alguna recaída o zona de activación de la enfermedad, debemos actuar de inmediato para evitar que aumente su gravedad.
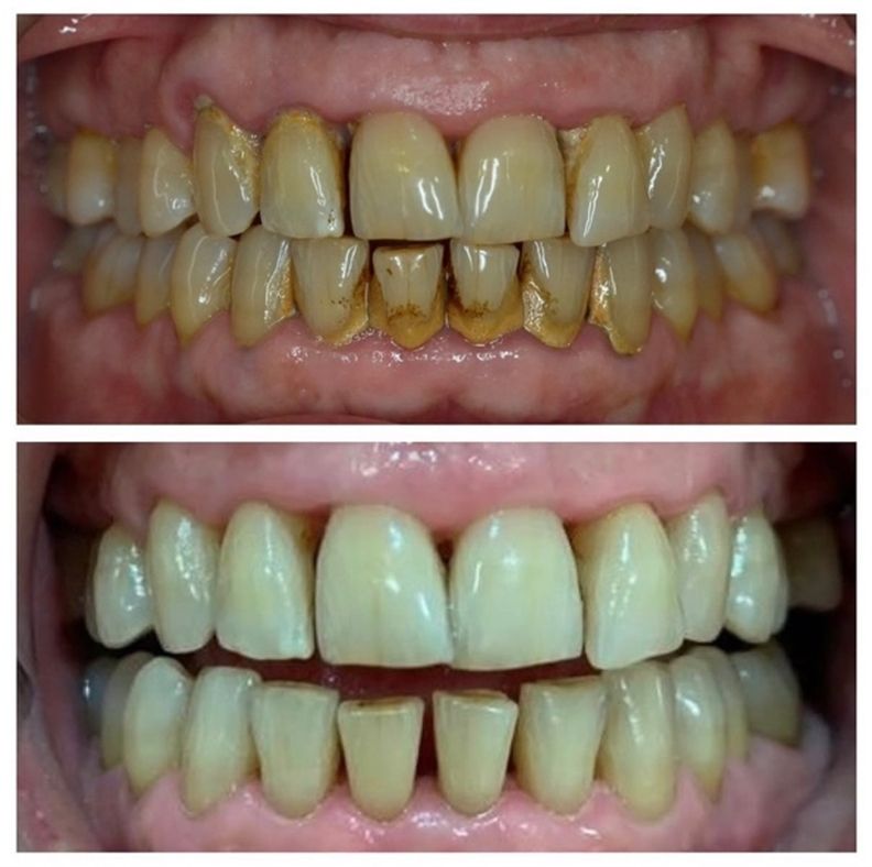
A continuación, os mostramos el cambio de un paciente tras su tratamiento periodontal:
En este caso, el paciente presentaba periimplantitis en la zona de 43, la cual evolucionó satisfactoriamente tras el tratamiento periodontal.
Si estás interesad@ en recibir más información sobre los tratamientos de Dental Morante o pedir cita en nuestra clínica, puedes ponerte en contacto con nosotros enviando un mail a info @ dentalmorante.es, por WhatsApp al 619 992 483 o llamando al teléfono 91 356 14 65.
Sobre el Autor
Dra. Paula Alonso Nuñez
Ortodoncista
La Dra. Paula Alonso Nuñez es Licenciada en Odontología por la Universidad Complutense de Madrid, posee un Máster en Endodoncia, Estética y Restauradora por la Institución Mississippi, de la Universidad de Alcalá. Máster en Ortodoncia y Ortopedia Dentofacial de la Universidad de Salamanca. Curso teórico-práctico de Implantoprótesis de IESO y Curso de Marketing en Ortodoncia Invisible y Certificado Quick Smile. Si quieres sabes más sobre la Dra. Paula Alonso Nuñez consulta su curriculum vitaeen el apartado "nuestro equipo".


