¿A qué nos referimos cuando hablamos de Clase II?
- Publicado el 09 de Diciembre de 2025
- |
- ORTODONCIA
- 969
La clase II es una de las maloclusiones más frecuentes en nuestro día a día en la Clínica de ortodoncia.
Se produce cuando existe una descoordinación entre arcadas al morder.
Se trata de una alteración de la mordida en la que los dientes de la arcada superior muerden en una posición más adelantada de lo que deberían respecto a los dientes de la arcada inferior.
Esto puede tener 3 causas:
Causa dental.
Causa ósea, producida generalmente por un deficiente crecimiento de la mandíbula o por una excesiva proyección del maxilar.
Causa dental y ósea.
Clase II ósea
Decimos que una Clase II es ósea o esquelética cuando el origen del problema está en los huesos: el maxilar superior y la mandíbula. La mandíbula se encuentra en una posición retrasada respecto al maxilar, lo cual se percibe en el perfil, que se vuelve muy convexo.
En la mayoría de los casos la causa es un déficit de crecimiento de la mandíbula, aunque existen otros en los que la clase II se debe a un exceso de crecimiento del maxilar superior. También encontramos Clases II de causa mixta: un exceso de crecimiento maxilar combinado con un déficit de crecimiento mandibular.
Clase II dentaria
Decimos que existe una Clase II dentaria cuando los dientes superiores muerden adelantados respecto a los inferiores, pero las bases óseas tienen un tamaño y una posición correctas.
Existen dos tipos de Clase II dentaria:
Clase II división 1ª: Cuando existe gran separación entre los dientes anteriores superiores e inferiores. Es lo que en ortodoncia llamamos resalte. Determinados hábitos nocivos como el chupete, la interposición del labio inferior o chuparse el dedo pueden provocar o agravar este problema.
Clase II división 2ª: Aquí, a pesar de que todos los dientes superiores están adelantados respecto a los inferiores, no existe resalte ya que los dientes anterosuperiores se han retroinclinado, se han proyectado hacia atrás para conseguir contactar con los inferiores.
Tratamiento
Para planificar el tratamiento, lo importante es haber realizado previamente un diagnóstico minucioso del problema, ayudándonos de un análisis de los modelos dentarios, radiografías y fotos del paciente.
Tenemos que tener en cuenta dos factores fundamentales: ¿Cuál es la causa de la clase II? Si es ósea o dentaria, y ¿Cuál es la edad del paciente?
Cuando el problema es óseo:
Si el paciente se encuentra en crecimiento: podremos realizar un tratamiento ortopédicointerceptivocon ayuda de aparatos específicos (denominados aparatos funcionales), con los que podremos estimular el crecimiento de la mandíbula aprovechando los picos de crecimiento prepuberal del paciente o frenar el crecimiento del maxilar superior (esto último, en menor medida).
Aparatos funcionales como el Twin Block o Klammt, son muy útiles para estimular el crecimiento del maxilar inferior.
En la actualidad, gracias a los grandes avances en los alineadores de Ortodoncia Invisible, podemos tratar esta maloclusión en niños/as de una manera mucho más cómoda e higiénica con los alineadores con avance mandibular.
Si el paciente ha terminado el crecimiento: Sus huesos ya no crecen y ya no podremos solucionar el problema óseo. Si la clase II ósea no es muy grave, podremos mover los dientes con ortodoncia para enmascarar el problema a nivel dentario, aunque el perfil no podremos modificarlo demasiado.
Si el problema es muy acusado, habrá que recurrir a la cirugía ortognática, la cual está destinada a corregir la forma, posición y tamaño de los maxilares, y es realizada por un cirujano maxilofacial.
«En las Clases II de causa ósea es fundamental el diagnóstico precoz del problema para poder tratarlo antes de que sea demasiado tarde.»
Cuando el problema es dentario:
En estos casos, independientemente de la edad, trataremos al paciente con ortodoncia fija convencional con brackets, o bien, con ortodoncia invisible, con el fin de llevar los dientes a una posición correcta y establecer una mordida adecuada.
La elección de un sistema u otro dependerá de la preferencia del paciente y siempre en base a la recomendación del ortodoncista.
En ocasiones, para llevar a cabo este tratamiento se pueden extraer dos piezas de la arcada superior, como un premolar de cada lado, para proporcionar espacio adicional.
Problemas de salud que provoca la clase II
La alineación incorrecta de las arcadas produce un desgaste desigual de los dientes y algunos pueden sufrir un deterioro excesivo.
Por otra parte, la placa dental es más difícil de eliminar por las modificaciones anatómicas asociadas, y la mala higiene bucodental trae consecuencias tales como las caries y las enfermedades periodontales.
Adicionalmente, el bruxismo o hábito de apretar los dientes, es frecuente entre quienes presentan algún tipo de maloclusión, con lo que el daño se acentúa, y es posible que aparezcan síntomas asociados: dolor en la articulación temporomandibular, cefalea, molestias cervicales, así como alteraciones en la masticación y la pronunciación.
Una incorrecta oclusión siempre implica una descompensación en las fuerzas masticatorias, por lo que hay más riesgo de sufrir desgaste dental, fracturas o caries.
Cuando la clase II tiene un componente óseo, a largo plazo generalmente deriva en problemas de apnea del sueño, debido a una reducción de las vías respiratorias, así como problemas en la articulación temporomandibular ya que, al no masticar de manera coordinada, forzamos más un lado de la ATM que otro.
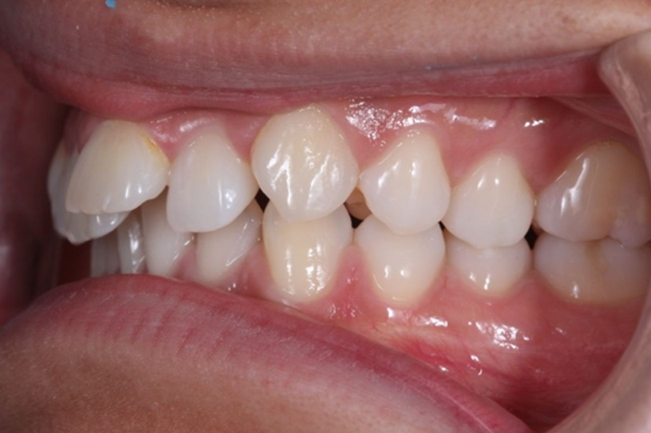
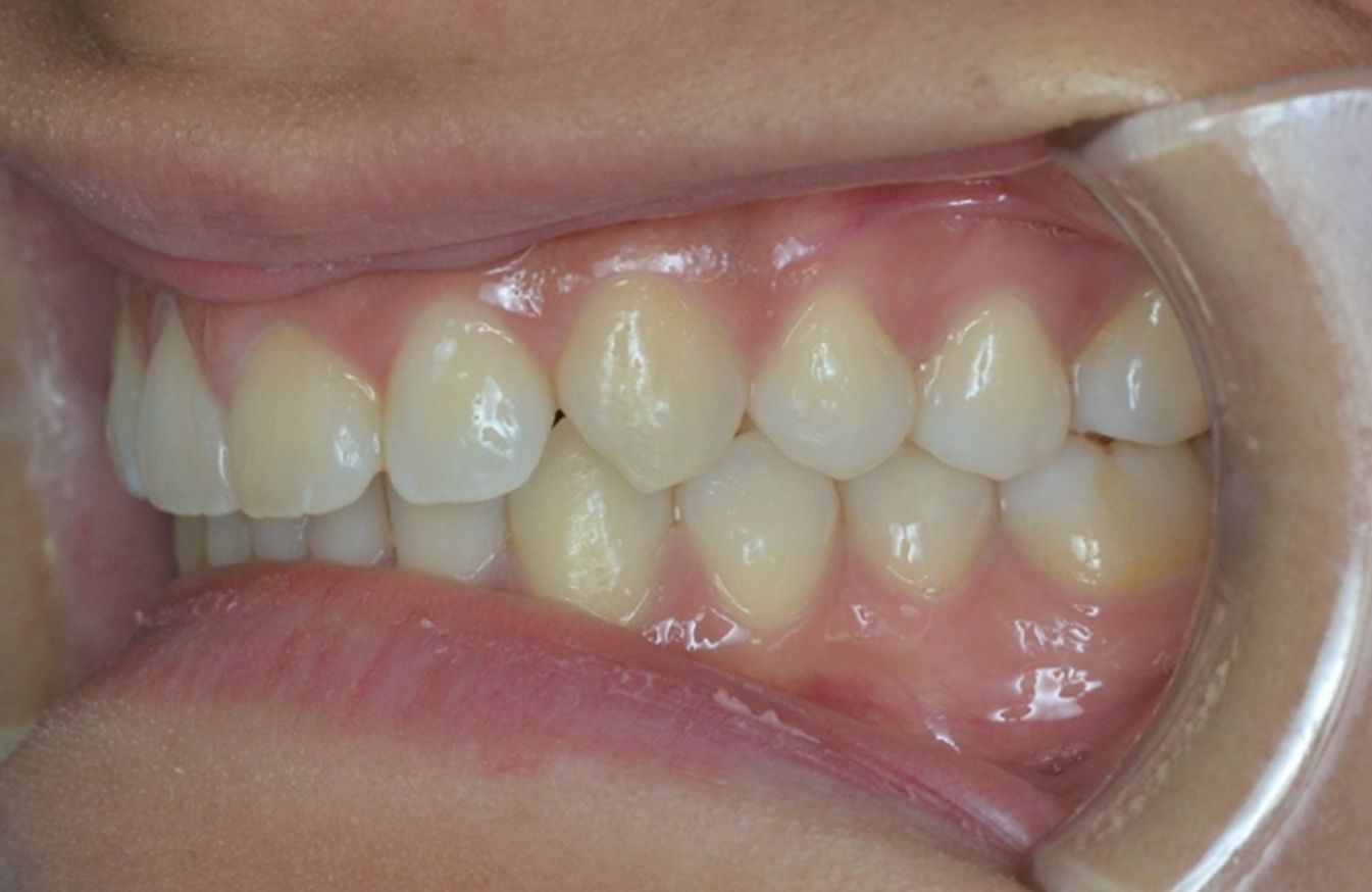
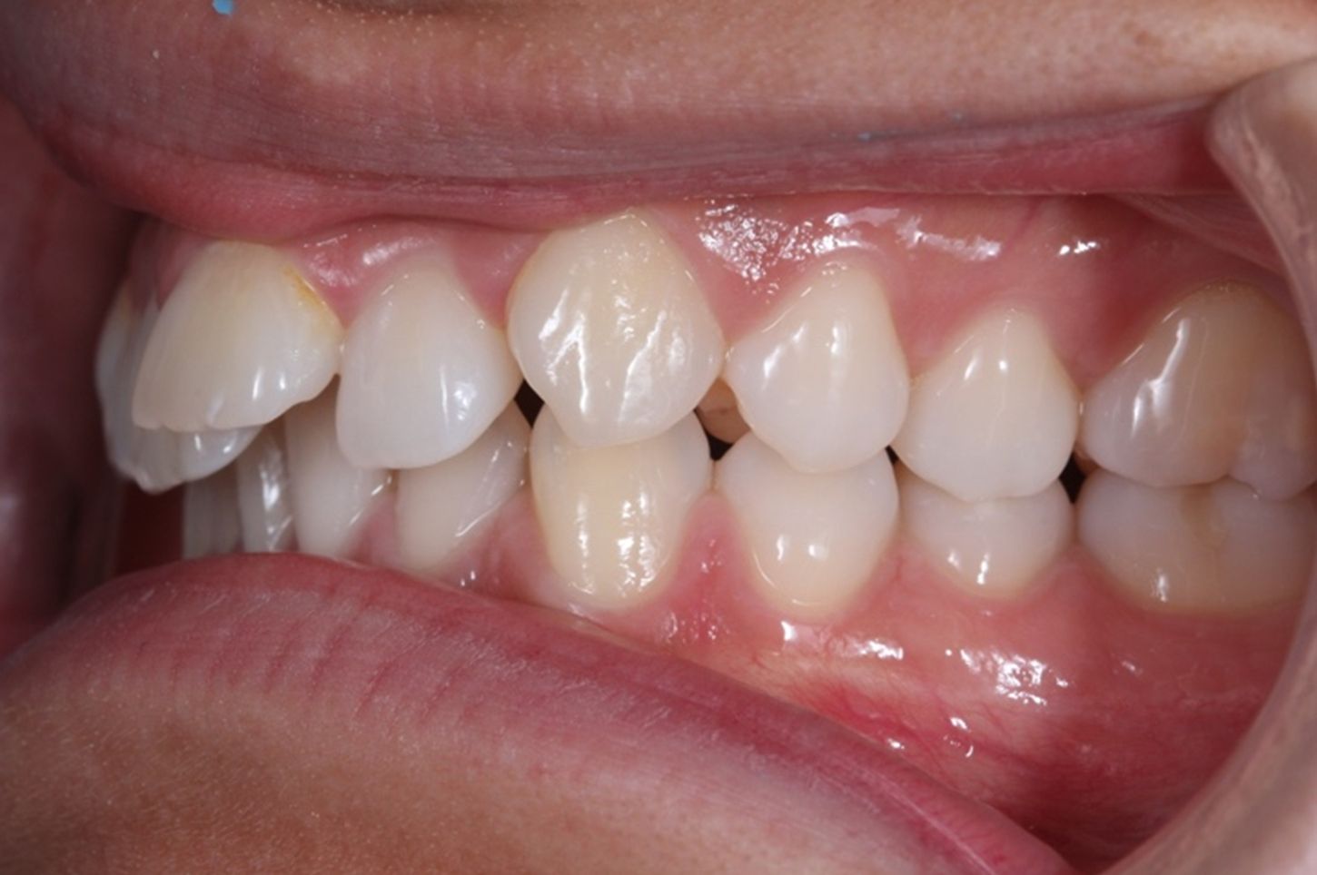
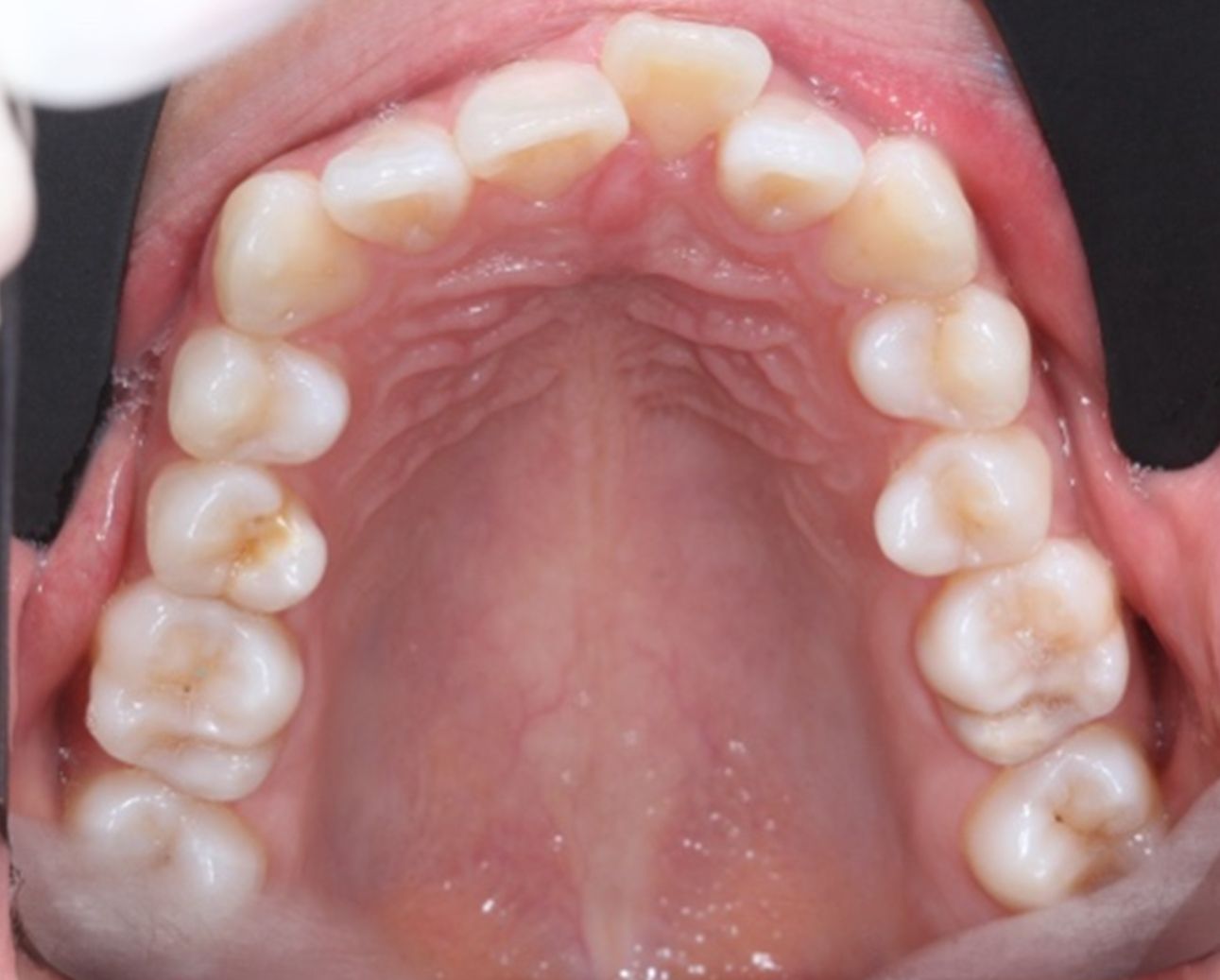
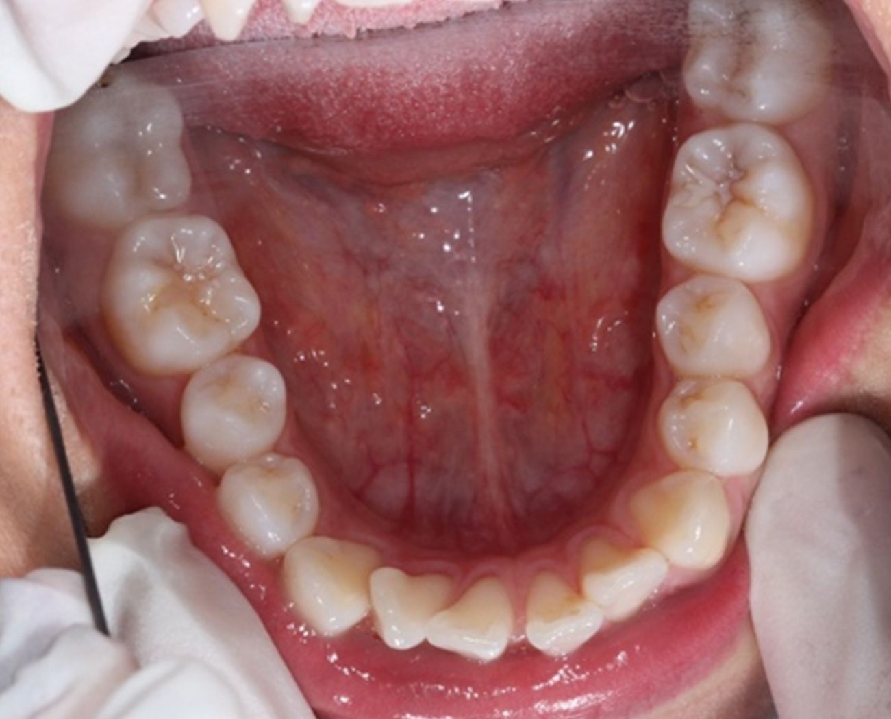
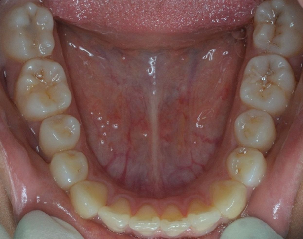
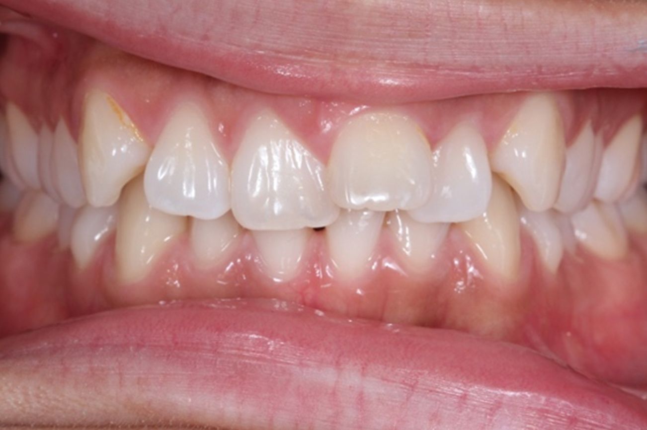
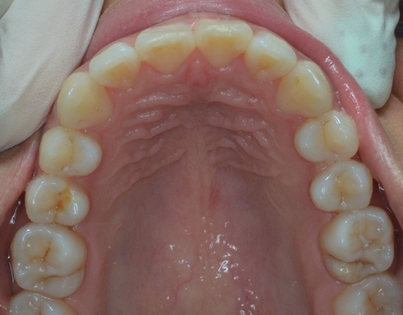
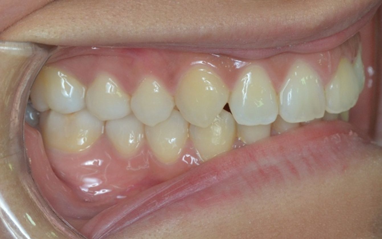
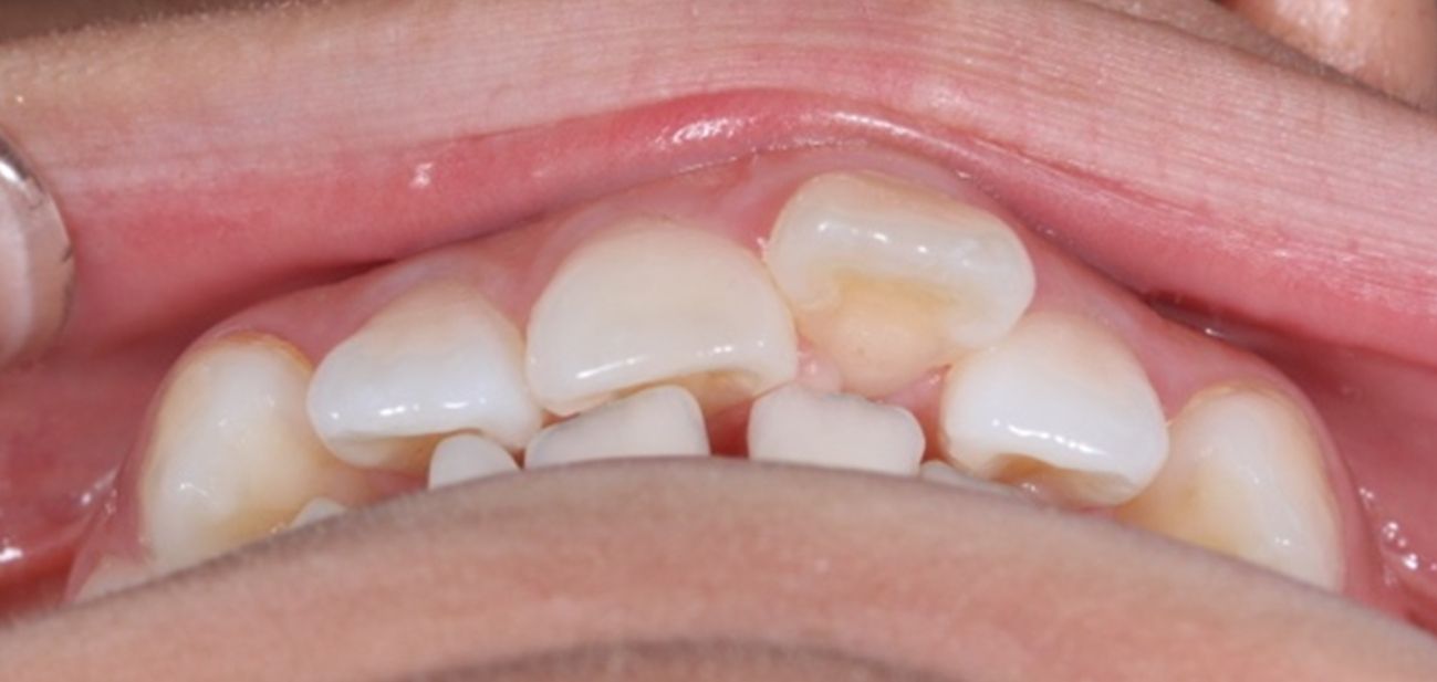
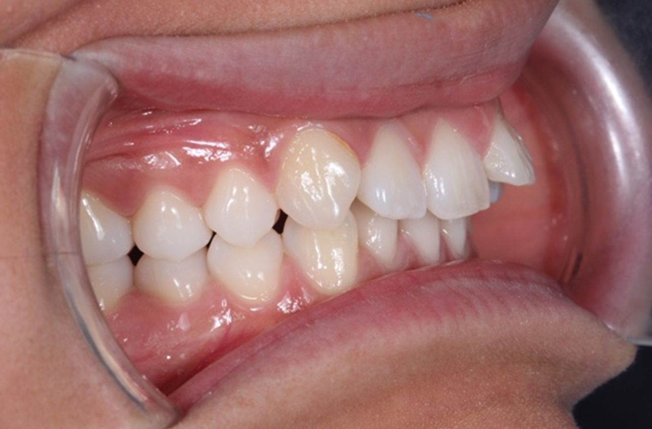
A continuación, mostramos el caso de una paciente adulta con clase II ósea y dentaria.
Con Ortodoncia Invisible, y gracias a la cooperación de la paciente, conseguimos este resultado y, lo más importante de todo, que la paciente sonría sin complejos.
Si estás interesad@ en recibir más información sobre los tratamientos de Dental Morante o pedir cita en nuestra clínica, puedes ponerte en contacto con nosotros enviando un mail a info @ dentalmorante.es, por WhatsApp al 619 992 483 o llamando al teléfono 91 356 14 65.
Sobre el Autor
Dra. Paula Alonso Nuñez
Ortodoncista
La Dra. Paula Alonso Nuñez es Licenciada en Odontología por la Universidad Complutense de Madrid, posee un Máster en Endodoncia, Estética y Restauradora por la Institución Mississippi, de la Universidad de Alcalá. Máster en Ortodoncia y Ortopedia Dentofacial de la Universidad de Salamanca. Curso teórico-práctico de Implantoprótesis de IESO y Curso de Marketing en Ortodoncia Invisible y Certificado Quick Smile. Si quieres sabes más sobre la Dra. Paula Alonso Nuñez consulta su curriculum vitaeen el apartado "nuestro equipo".




