Noticia Ampliada

¿Un paciente puede usar ortodoncia si ya lleva implantes?

  • Publicado el 05 de Junio de 2025
  • |
  • IMPLANTES DENTALES
  • 933

¿Un paciente puede usar ortodoncia si ya lleva implantes?

La respuesta es Sí.

se puede colocar ortodoncia si llevas implantes dentales, pero existen una seria de consideraciones a tener en cuenta.

¿Qué debes saber si llevas implantes y quieres usar ortodoncia?

  1. Los implantes no se mueven.
    A diferencia de los dientes naturales, los implantes están fijos en el hueso y no pueden moverse con la ortodoncia. Esto significa que NO se puede cambiar su posición, ya sea con brackets o con alineadores.

  2. El resto de los dientes sí se pueden mover.
    Aunque los implantes no se mueven, los dientes naturales sí pueden ser movidos o desplazados con Ortodoncia, y muchas veces esto es suficiente para mejorar tanto la oclusión (mordida)como la estética.

  3. Generalmente, los implantes se colocan después de la ortodoncia (por lo que hemos mencionado anteriormente, para que así podamos mover el resto de los dientes sin ningún impedimento)
    En muchos casos, el ortodoncista planifica el tratamiento para mover los dientes naturales primero, y luego se colocan los implantes en las posiciones correctas.

  4. Mini-implantes como anclaje
    En algunos tratamientos de ortodoncia avanzados, se colocan pequeños implantes temporales llamados microtornillos o minitornillos que sí se usan como anclaje para mover dientes, y una vez realizada su función, se retiran.

¿Cuándo es posible usar ortodoncia si ya llevo implantes?

Puedes colocarte ortodoncia (aún llevando implantes) si:

  • El implante no está interfiriendo con el movimiento necesario.

  • El ortodoncista considera que el movimiento dental será efectivo sin necesidad de mover el implante.

¿Cuándo puede ser un problema?

Comenzar una ortodoncia llevando ya implantes puede ser un problema en estos casos:

  • Si el implante está mal posicionado y nos interfiere en el desplazamiento de otros dientes.

  • Si el implante está mal angulado y nos limitala estética posterior con los dientes adyacentes.

  • En ambos casos anteriores, puede suponer la retirada y posterior recolocación del implante.

  • Si hay múltiples implantes y pocos dientes naturales, el tratamiento ortodóntico va a ser demasiado limitado.

Por ello, la recomendación siempre es consultar primero con el equipo de especialistas (ortodoncista, implantólogo, periodoncista) para que le expliquen el orden del tratamiento a seguir realizando una adecuada planificación individualizada a su caso.

A continuación, vamos a mostrar algunos casos de pacientes con implantes y ortodoncia.

Caso 1

Este paciente llevó ortodoncia anteriormente pero el retenedor fijo se le despegó y se le habían vuelto a apiñar los incisivos inferiores.

Además, había perdido la pieza 36.

Le colocamos el implante de 36 y le cementamos brackets para solucionar el apiñamiento mientras el implante se osteointegraba para, al terminar la ortodoncia, colocar la corona sobre implante.

¿Un paciente puede usar ortodoncia si ya lleva implantes? dental morante implantes en madrid
¿Un paciente puede usar ortodoncia si ya lleva implantes? dental morante implantes en madrid

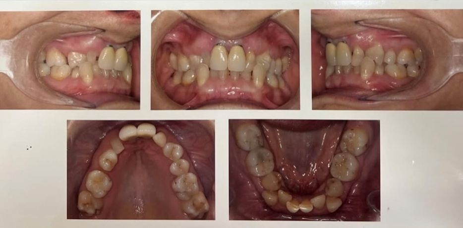
Caso 2

Esta paciente llevaba implantes en 11 21 desde hacía años.

Vino a nuestra consulta porque quería mejorar su estética y su oclusión.

Eligió brackets para su tratamiento.

Nuestros objetivos fueron: expandir las arcadas, descruzar la mordida, solucionar el apiñamiento, corregir rotaciones… Al finalizar la ortodoncia, cambiamos las coronas sobre implante de 11 y 21.

Y el resultado obtenido fue muy óptimo.

¿Un paciente puede usar ortodoncia si ya lleva implantes? dental morante implantes en madrid
¿Un paciente puede usar ortodoncia si ya lleva implantes? dental morante implantes en madrid
¿Un paciente puede usar ortodoncia si ya lleva implantes? dental morante implantes en madrid

Caso 3

La paciente de este caso lleva implantes en 24 25.

El sector anteroinferior presenta apiñamiento, y sus dientes en general, torques muy negativos.

El tratamiento elegido ha sido ortodoncia invisible, con la cual expandiremos las arcadas corrigiendo las inclinaciones de sus piezas y el apiñamiento mencionado, sin necesidad de retirar los implantes que lleva.

¿Un paciente puede usar ortodoncia si ya lleva implantes? dental morante implantes en madrid
¿Un paciente puede usar ortodoncia si ya lleva implantes? dental morante implantes en madrid

Caso 4

En este caso, la paciente lleva implante en 22 pero quiere corregir el apiñamiento que se le ha generado en el sector anterior de ambas arcadas.

Escoge ortodoncia invisible como tratamiento, sabiendo que puede que sea probable que tenga que cambiarse la corona de 22 al terminar por causa estética, pero sin necesidad del explante de esta pieza.

¿Un paciente puede usar ortodoncia si ya lleva implantes? dental morante implantes en madrid
¿Un paciente puede usar ortodoncia si ya lleva implantes? dental morante implantes en madrid

Si estás interesad@ en recibir más información sobre los tratamientos de Dental Morante o pedir cita en nuestra clínica, puedes ponerte en contacto con nosotros enviando un mail a info @ dentalmorante.es, por WhatsApp al 619 992 483 o llamando al teléfono 91 356 14 65.


¿Te ha gustado? ¡Compártelo!


Sobre el Autor

Dra. Paula Alonso Nuñez

Dra. Paula Alonso Nuñez

Ortodoncista

La Dra. Paula Alonso Nuñez es Licenciada en Odontología por la Universidad Complutense de Madrid, posee un Máster en Endodoncia, Estética y Restauradora por la Institución Mississippi, de la Universidad de Alcalá. Máster en Ortodoncia y Ortopedia Dentofacial de la Universidad de Salamanca. Curso teórico-práctico de Implantoprótesis de IESO y Curso de Marketing en Ortodoncia Invisible y Certificado Quick Smile. Si quieres sabes más sobre la Dra. Paula Alonso Nuñez consulta su curriculum vitaeen el apartado "nuestro equipo".


Noticias relacionadas